een beetje van alles
Inhoud blog
  • Lewis Waterman (1837-1901)
  • Slimme honden
  • Romeo
  • Nepglimlachen verslechtert humeur
  • Verbrast fortuin
    Zoeken in blog

    Beoordeel dit blog
      Zeer goed
      Goed
      Voldoende
      Nog wat bijwerken
      Nog veel werk aan
     
    Over mijzelf
    Ik ben Isabel, en gebruik soms ook wel de schuilnaam isaatje70.
    Ik ben een vrouw en woon in Lokeren (België) en mijn beroep is ambtenaar.
    Ik ben geboren op 09/07/1970 en ben nu dus 55 jaar jong.
    Mijn hobby's zijn: lezen, schrijven, ....
    welkom op mijn blogje. Ik vertel graag over allerlei zaken die mij bezighouden!
    Mijn favorieten
  • Athea
  • Blog van Eef
  • Blog De Vriendinnen
  • Nikki's Blog
  • Libelle
  • Lydia's Blog
  • Spelletjes
  • Vera's Blog
  • Schrijven, dichten en weetjes
  • Mijn pad
    Foto
    Foto
    Foto
    Foto
    Foto
    Foto
    30-06-2010
    Klik hier om een link te hebben waarmee u dit artikel later terug kunt lezen.Overval voor vakantiegeld
    Klik op de afbeelding om de link te volgen Een man moet voor vijf jaar de cel in omdat hij in Duitsland op weg naar het vliegveld voor een vakantie een tankstation overviel. De 24-jarige man werd maandag door een rechtbank in Wuppertal veroordeeld. De man was met zijn vriendin in een taxi op weg naar de luchthaven, toen hij de chauffeur bij een tankstation langs een autosnelweg liet stoppen. Hij maakte bijna 1800 euro buit. Zijn vriendin en de chauffeur merkten niets van de overval. De man verklaarde dat hij tot zijn daad was gekomen omdat hij werkloos was geworden kort nadat hij de vlucht had geboekt. De ex-dakdekker wilde niet dat zijn vriendin zou merken dat hij zich de reis eigenlijk niet meer kon veroorloven. Na zijn terugkeer van vakantie kon de politie hem op het vliegveld arresteren.

    (bronnen: www.waarmaarraar.nl, http://willemssonja.web-log.nl)
    0 1 2 3 4 5 - Gemiddelde waardering: 0/5 - (0 Stemmen)
    30-06-2010, 11:10 geschreven door isaatje70  
    Klik hier om een link te hebben waarmee u dit artikel later terug kunt lezen.It's Over
    Klik op de afbeelding om de link te volgen Klik op onderstaande link om te luisteren naar dit mooie liedje van de Britse popgroep Level 42:

    http://www.youtube.com/watch?v=BRYKbJSfglA

    (bronnen: YouTube, http://knaapenzaken.web-log.nl voor de foto)
    0 1 2 3 4 5 - Gemiddelde waardering: 0/5 - (0 Stemmen)
    30-06-2010, 00:00 geschreven door isaatje70  
    29-06-2010
    Klik hier om een link te hebben waarmee u dit artikel later terug kunt lezen.Marilyn Monroe
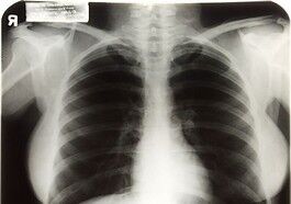
    Dat er veel geld wordt neergelegd voor foto's van de Amerikaanse actrice en zangeres Marilyn Monroe is niet zo opzienbarend. Dat een liefhebber ruim 36.000 euro neertelt voor röntgenfoto's van de Amerikaanse, kan wel bijzonder genoemd worden.

    Tijdens een zogenaamde Hollywood Legends-veiling in Las Vegas werden afgelopen zondag twee röntgenfoto's van Marilyn Monroe verkocht voor 45.000 dollar, ruim 36.000 euro. Op de foto's is de borstkas van de beroemde actrice en zangeres te zien.

    (bronnen: http://historiek.net, http://muziekenfilmgek.punt.nl voor de foto van Marilyn)




    0 1 2 3 4 5 - Gemiddelde waardering: 0/5 - (0 Stemmen)
    29-06-2010, 09:46 geschreven door isaatje70  
    Klik hier om een link te hebben waarmee u dit artikel later terug kunt lezen.Zorro
    Klik op onderstaande link om een grappig reclamefilmpje voor Belgacom te bekijken:

    http://www.funnyplace.org/stream.php?id=15898
    0 1 2 3 4 5 - Gemiddelde waardering: 0/5 - (0 Stemmen)
    29-06-2010, 00:00 geschreven door isaatje70  
    Klik hier om een link te hebben waarmee u dit artikel later terug kunt lezen.Russische verdachte gooit geld op straat
    Klik op de afbeelding om de link te volgen Automobilisten op een drukke verkeersweg in Moskou konden vorige week donderdag hun ogen niet geloven toen zij 10 miljoen roebel, omgerekend zo'n 261.000 euro, door de lucht zagen vliegen. Een van corruptie verdachte bureaucraat die op de vlucht was voor de politie, besloot zijn buit uit het raam van zijn auto te gooien. De man is volgens lokale media een ambtenaar van het federale visserijbureau en wordt verdacht van het aannemen van steekpenningen. Uit angst op heterdaad te worden betrapt door de politie, gooide hij de contanten weg. De briefjes dwarrelden neer op een weg in het zuiden van de Russische hoofdstad. Televisiezenders lieten beelden zien van rechercheurs die onder het toeziend oog van geamuseerde automobilisten en verkeerspolitie geduldig de biljetten aan het oprapen waren. De verdachte veroorzaakte tijdens zijn vlucht ook een klein verkeersongeluk. Niemand raakte hierbij gewond.

    (bronnen: www.waarmaarraar.nl, www.portablegear.nl)
    0 1 2 3 4 5 - Gemiddelde waardering: 0/5 - (0 Stemmen)
    29-06-2010, 00:00 geschreven door isaatje70  
    28-06-2010
    Klik hier om een link te hebben waarmee u dit artikel later terug kunt lezen.Robert Palmer
    Klik op de afbeelding om de link te volgen Robert Palmer (Batley, Engeland, 19 januari 1949 - Parijs, 26 september 2003) pseudoniem van Alan Palmer, was een Brits popmusicus.
    In de jaren '60 maakte hij deel uit van de groepen The Alan Bown Set en Dada, dat later omgedoopt werd tot Vinegar Joe. Sinds 1974 was hij als soloartiest actief, en scoorde hij zijn eerste hit met Sneakin' Sally Through The Alley. In Nederland scoort Palmer in 1978 zijn eerste hit met Best of Both Worlds. In de top 40 haalt het de 17e plaats. Begin jaren '80 haalden zijn songs Johnny and Mary en Looking for Clues de hitparades, maar Addicted to Love en Bad Case of Loving You zijn z'n grootste hits.
    Met zijn gelegenheidsband The Power Station, die hij in 1985 oprichtte met John Taylor en Andy Taylor van Duran Duran, scoorde hij de hits Some Like It Hot en Get It On.
    Palmer woonde in Zwitserland en stierf aan een hartinfarct tijdens een verblijf in Parijs.

    Klik op onderstaande link om te luisteren naar zijn mooie liedje Johnny and Mary:

    http://www.youtube.com/watch?v=Ar_TeOWD5Yw&feature=related


    (bronnen: YouTube, Wikipedia en www.infoplease.com voor de foto)
    0 1 2 3 4 5 - Gemiddelde waardering: 0/5 - (0 Stemmen)
    28-06-2010, 00:00 geschreven door isaatje70  
    Klik hier om een link te hebben waarmee u dit artikel later terug kunt lezen.Bernstein
    Klik op de afbeelding om de link te volgen De Amerikaanse musicus Leonard Bernstein (1918 - 1990) was niet alleen een groot componist en dirigent, maar ook een buitengewoon goede pianist. Regelmatig trad Bernstein op, vaak samen met andere beroemde pianisten. Zo trad Bernstein een keer op met de Canadese virtuoos Glenn Gould.
    Vlak voor aanvang van het concert kwam Bernstein het podium op. "Dames en heren, wij gaan zo dadelijk een pianoconcert van Brahms voor u spelen. Ik ben het niet eens met deze interpretatie. Die is veel te langzaam, waardoor bepaalde passages een veel te grote zwaarte krijgen. Het is maar dat u het weet."

    (bronnen: www.anekdotes.net, Wikipedia)
    0 1 2 3 4 5 - Gemiddelde waardering: 0/5 - (0 Stemmen)
    28-06-2010, 00:00 geschreven door isaatje70  
    Klik hier om een link te hebben waarmee u dit artikel later terug kunt lezen.Fijne week
    Ik wens iedereen een goede start van de nieuwe week!




    0 1 2 3 4 5 - Gemiddelde waardering: 5/5 - (1 Stemmen)
    28-06-2010, 00:00 geschreven door isaatje70  
    27-06-2010
    Klik hier om een link te hebben waarmee u dit artikel later terug kunt lezen.Spreuken met een glimlach
    Komt u iemand tegen zonder glimlach: schenk hem dan de uwe.

    Als het tegenslagen regent, gebruik dan je glimlach als paraplu.

    Een glimlach kost minder dan elektriciteit, maar geeft evenveel licht.

    Een glimlach kost niets en toch is hij waardevol.

    De glimlach is het beste en het natuurlijkste tegengif tegen droefheid.

    Niemand is zo arm dat hij geen glimlach geven kan en niemand is zo rijk dat hij geen glimlach nodig heeft.

    (bron: www.glimlacher.nl)
    0 1 2 3 4 5 - Gemiddelde waardering: 0/5 - (0 Stemmen)
    27-06-2010, 00:00 geschreven door isaatje70  
    Klik hier om een link te hebben waarmee u dit artikel later terug kunt lezen.Beestenboel
    Klik op onderstaande link om naar een leuk reclamespotje te kijken:

    http://www.funnyplace.org/stream.php?id=15874
    0 1 2 3 4 5 - Gemiddelde waardering: 0/5 - (0 Stemmen)
    27-06-2010, 00:00 geschreven door isaatje70  
    Klik hier om een link te hebben waarmee u dit artikel later terug kunt lezen.Citaat van de week
    "Ik weet slechts één ding: dat ik niets weet."

    Socrates (Grieks filosoof - 469 v. C. - 399 v.C.)
    0 1 2 3 4 5 - Gemiddelde waardering: 0/5 - (0 Stemmen)
    27-06-2010, 00:00 geschreven door isaatje70  
    26-06-2010
    Klik hier om een link te hebben waarmee u dit artikel later terug kunt lezen.Bruiloft
    Klik op de afbeelding om de link te volgen Een Amerikaans koppel heeft 280.000 blikken ingezameld om hun bruiloft te kunnen betalen. De blikken zijn 3.800 dollar (zowat 3.000 euro) waard aan aluminium.
    Het koppel uit Spokane (Washington) lanceerde een half jaar geleden een oproep aan familie en vrienden om lege conservenblikken in te zamelen. De ongewone vraag haalde al snel de media, zodat de tuin van het paar intussen bezaaid is met bergen aluminium. De trouwpartij is voorzien voor eind juni.
    Aan de huidige recyclageprijs kunnen ze zowat 3.000 euro spenderen aan hun feest.

    (bronnen: www.nieuwsblad.be, www.acto.nl)
    0 1 2 3 4 5 - Gemiddelde waardering: 0/5 - (0 Stemmen)
    26-06-2010, 11:35 geschreven door isaatje70  
    Klik hier om een link te hebben waarmee u dit artikel later terug kunt lezen.Son of a Preacher Man
    Klik op de afbeelding om de link te volgen Klik op onderstaande link om te luisteren naar dit bijzonder mooie liedje van Dusty Springfield:

    http://www.youtube.com/watch?v=Y8BJbvraTUk


    (bronnen: YouTube en http://themusicisover.files.wordpress.com voor de foto)
    0 1 2 3 4 5 - Gemiddelde waardering: 0/5 - (0 Stemmen)
    26-06-2010, 00:00 geschreven door isaatje70  
    Klik hier om een link te hebben waarmee u dit artikel later terug kunt lezen.Weekend
    Ik wens iedereen een heel fijn & zonnig weekend! Geniet ervan!




    0 1 2 3 4 5 - Gemiddelde waardering: 0/5 - (0 Stemmen)
    26-06-2010, 00:00 geschreven door isaatje70  
    25-06-2010
    Klik hier om een link te hebben waarmee u dit artikel later terug kunt lezen.Afstandsbediening
    Klik op onderstaande link om een grappig reclamespotje te bekijken:

    http://www.funnyplace.org/stream.php?id=15819
    0 1 2 3 4 5 - Gemiddelde waardering: 0/5 - (0 Stemmen)
    25-06-2010, 00:00 geschreven door isaatje70  
    Klik hier om een link te hebben waarmee u dit artikel later terug kunt lezen.Stom!
    Klik op de afbeelding om de link te volgen Twee vrienden in Australië zijn in het ziekenhuis beland met schoten van een luchtdrukgeweer in hun achterwerk. De twee 34-jarigen wilden na een drinkpartij uitproberen hoeveel pijn een dergelijk schot doet, zo verklaarde de politie in Melbourne afgelopen woensdag. De twee mannen schoten zondagavond na meerdere rondjes bier in elkaars achterwerk. Hoewel dat uiteindelijk veel pijn bleek te doen, stelden ze er zich eerst niet veel vragen bij. Dinsdag verschenen ze beschaamd in het ziekenhuis om de projectielen operatief te laten verwijderen. De politie nam het luchtdrukgeweer in beslag en nam de licentie van de eigenaar af.

    (bronnen: www.waarmaarraar.nl; www.oneworld.nl)
    0 1 2 3 4 5 - Gemiddelde waardering: 0/5 - (0 Stemmen)
    25-06-2010, 00:00 geschreven door isaatje70  
    Klik hier om een link te hebben waarmee u dit artikel later terug kunt lezen.Kuiken met vier poten
    Klik op de afbeelding om de link te volgen Paul van Mook uit Rhenoy (NL) houdt al ruim dertig jaar kippen, maar deze week zag hij voor het eerst in zijn leven een kuiken met vier pootjes op zijn erf lopen. "Het is bijzonder, zo zei een vrouw die aan de universiteit van Utrecht lesgeeft", aldus de gepensioneerde leraar tegen de krant de Gelderlander. Volgens van Mook heeft het kleine diertje geen last van de extra poten. "Het rent gewoon met de rest mee. De extra pootjes leven ook, want ze zijn warm. De kenners vermoeden dat het hier om het begin van een Siamese tweeling gaat," aldus nog van Mook.

    (bronnen: www.waarmaarraar.nl; www.kuikens.com voor de foto)
    0 1 2 3 4 5 - Gemiddelde waardering: 0/5 - (0 Stemmen)
    25-06-2010, 00:00 geschreven door isaatje70  
    24-06-2010
    Klik hier om een link te hebben waarmee u dit artikel later terug kunt lezen.Get Here - Oleta Adams
    Klik op de afbeelding om de link te volgen Klik op de link om te luisteren naar dit prachtige liedje:

    http://www.youtube.com/watch?v=X-CtBBcMgsY

    (bronnen: YouTube, www.spirit-of-rock.com)
    0 1 2 3 4 5 - Gemiddelde waardering: 0/5 - (0 Stemmen)
    24-06-2010, 00:00 geschreven door isaatje70  
    Klik hier om een link te hebben waarmee u dit artikel later terug kunt lezen.Echtscheiding is big party
    Klik op de afbeelding om de link te volgen Japanners maken sinds kort juichend een einde aan hun huwelijk. Stellen maken massaal een feestje van hun echtscheiding, zo meldt persbureau Reuters.
    Al 25 koppels nodigden hun familie en vrienden uit om getuige te zijn van hun scheidingsceremonie. Voor ongeveer 500 euro kwamen zij samen in het zogenaamde 'divorce mansion' van Hiroki Terai.
    Bij de ceremonie beloven man en vrouw elkaar plechtig dat ze willen scheiden door opnieuw 'Ja, ik wil' te zeggen. Onder luid applaus van de aanwezigen wordt vervolgens de trouwring met een enorme hamer platgeslagen. Vanaf dat moment zijn de gelukkigen officieel van elkaar verlost. Terai begon met de scheidingsceremonie omdat hij vond dat er een positieve manier zou moeten zijn om een huwelijk te beëindigen.

    (bronnen: www.nieuwsmeteenglimlach.nl en http://users.skynet.be/fons.borginon)

    0 1 2 3 4 5 - Gemiddelde waardering: 0/5 - (0 Stemmen)
    24-06-2010, 00:00 geschreven door isaatje70  
    Klik hier om een link te hebben waarmee u dit artikel later terug kunt lezen.Kentekenplaat als reclamebord
    Klik op de afbeelding om de link te volgen De Amerikaanse staat Californië kampt met een miljardentekort. En een kat in het nauw maakt rare sprongen... Om het tekort van 19 miljard euro weg te werken, komen politici met opmerkelijke ideeën om geld in het laatje te brengen. Nu ligt er een serieus voorstel klaar om reclame te maken op kentekenplaten van auto's. Als een auto langer dan vier seconden stilstaat, verandert de (elektronische) kentekenplaat in een reclamebordje. Zodra de auto weer gaat rijden, toont het bord weer het kenteken. Ook kunnen de nummerborden gebruikt worden om Amber Alerts of verkeersinformatie weer te geven.

    (bronnen: www.waarmaarraar.nl, www.truckerbazaar.nl)
    0 1 2 3 4 5 - Gemiddelde waardering: 0/5 - (0 Stemmen)
    24-06-2010, 00:00 geschreven door isaatje70  
    23-06-2010
    Klik hier om een link te hebben waarmee u dit artikel later terug kunt lezen.Mopje
    Klik op de afbeelding om de link te volgen In de zoo van Antwerpen hoorde een verzorger een dame roepen:
    - O, welke schattige tijgertjes! Wat zouden ze zeggen, als ze konden praten?
    - Wij zijn luipaardjes, mevrouw, antwoordde de verzorger beleefd.

    (bronnen: De Druivelaar, www.zooantwerpen.be)
    0 1 2 3 4 5 - Gemiddelde waardering: 0/5 - (0 Stemmen)
    23-06-2010, 09:43 geschreven door isaatje70  
    Klik hier om een link te hebben waarmee u dit artikel later terug kunt lezen.Verdammt ich lieb dich
    Klik op de afbeelding om de link te volgen Klik op onderstaande link om te luisteren naar dit liedje van de Duitse zanger Matthias Reim:

    http://www.youtube.com/watch?v=G02xoDwBrIU

    (bronnen: YouTube, www.musik-base.de)
    0 1 2 3 4 5 - Gemiddelde waardering: 0/5 - (0 Stemmen)
    23-06-2010, 00:00 geschreven door isaatje70  
    Klik hier om een link te hebben waarmee u dit artikel later terug kunt lezen.Leuke zinnetjes
    - Parfumerie: een zaak met een geurtje aan.
    - God geef mij geduld maar haast U een beetje.
    - Alcohol is een langzaam gif maar we hebben tijd!
    - Wij hebben een probleem voor uw oplossing.
    - Een congres over tijdreizen zal vorige maand gehouden worden.
    - De emancipatie van een vrouw houdt op wanneer haar auto het begeeft.
    - Bij IT-ers gaat alles automatisch maar niets vanzelf.
    - Van geld dat we niet hebben kopen we dingen die we niet nodig hebben om indruk te maken op mensen die we niet mogen.
    - Microsoft logica: op start drukken om af te sluiten.
    - Ik praat niet te snel, je luistert te langzaam.
    - Golfen is knikkeren voor rijke mensen die te lui zijn om te bukken.
    - Leerstof: stof dat vrijkomt bij afvegen van het schoolbord.
    - Bij vlagen ben ik geniaal... helaas is het hier altijd windstil!
    - Dat er intelligente buitenaardse wezens bestaan wordt feilloos bewezen door het feit dat ze nog geen contact met ons hebben opgenomen.
    - De maatschappelijke ladder is voor de meeste mensen een huishoudtrapje.
    - Zolang mijn baas net doet alsof ik veel verdien, doe ik net alsof ik hard werk.
    - Hard werken wordt later beloond, lui zijn wordt nu beloond.
    - Ik vroeg aan de ober of de melk vers was. Hij antwoordde: "Mevrouw, drie uur geleden was het nog gras."
    - Ik heb me voorgenomen om morgen eens spontaan te zijn.

    (bronnen: www.lachjekrom.com en www.jokesclean.com)
    0 1 2 3 4 5 - Gemiddelde waardering: 0/5 - (0 Stemmen)
    23-06-2010, 00:00 geschreven door isaatje70  
    22-06-2010
    Klik hier om een link te hebben waarmee u dit artikel later terug kunt lezen.Taxi
    Klik op de afbeelding om de link te volgen Een Nederlandse taxichauffeur heeft in Den Haag een boze klant op de motorkap naar het politiebureau gereden. Dat schrijft De Telegraaf. Een 22-jarige man kreeg afgelopen weekend ruzie met de taxichauffeur over de prijs van de rit. De klant werd daarbij zo boos dat hij op de motorkap van de taxi klom. De 31-jarige taxichauffeur was niet bepaald onder de indruk van de scheldtirade en reed met de man op zijn auto naar het dichtstbijzijnde politiebureau. Daarbij moest hij wel voorzichtig rijden, want de ruit was inmiddels al gebarsten omdat de man er met zijn vuisten op bleef timmeren. Eenmaal aangekomen bij het politiebureau, werd er een proces-verbaal tegen het tweetal opgemaakt.

    (bronnen: Metro van 22 juni 2010 en http://bagagedragers.files.wordpress.com voor de foto)
    0 1 2 3 4 5 - Gemiddelde waardering: 0/5 - (0 Stemmen)
    22-06-2010, 15:39 geschreven door isaatje70  
    Klik hier om een link te hebben waarmee u dit artikel later terug kunt lezen.Muggenvangen, een sport als een ander
    Klik op de afbeelding om de link te volgen Terwijl alle ogen gericht zijn op de voetballers in Zuid-Afrika, heeft in Estland het allereerste kampioenschap muggen vangen plaatsgevonden. De Baltische staat wordt momenteel geteisterd door een muggenplaag. "We moeten ze toch op de een of andere manier bestrijden," legt organisator Trinnu Akkermann uit. De 37 deelnemers kregen er elk tien minuten de tijd om in een afgebakend speelveld zo veel mogelijk muggen te vangen. Sommige deelnemers werkten zich daarom vooraf in het zweet om zo de muggen aan te trekken. De Est Rauno Luksepp won het kampioenschap. De man slaagde erin om maar liefst 38 muggen binnen de tijd te vangen en won een zeiltochtje op het meer van Peipus - niet toevallig de plaats waar de meeste muggen hun eitjes leggen.

    (bron: Metro van 22 juni 2010 en www.hln.be voor de foto)
    0 1 2 3 4 5 - Gemiddelde waardering: 0/5 - (0 Stemmen)
    22-06-2010, 15:33 geschreven door isaatje70  
    Klik hier om een link te hebben waarmee u dit artikel later terug kunt lezen.Douche
    Klik op de link om naar een grappig reclamespotje te kijken:

    http://www.funnyplace.org/stream.php?id=15821
    0 1 2 3 4 5 - Gemiddelde waardering: 0/5 - (0 Stemmen)
    22-06-2010, 00:00 geschreven door isaatje70  
    Klik hier om een link te hebben waarmee u dit artikel later terug kunt lezen.Oranje gekte
    Klik op de afbeelding om de link te volgen Een inwoner van Hoogezand (NL) kreeg een bekeuring omdat hij zijn auto oranje had geverfd.
    Toen hij vorige week vrijdag door zijn woonplaats reed, werd hij aangehouden door de politie. Hij werd op de bon geslingerd omdat de kleur van de auto niet overeenkomt met de kleur die op het kentekenbewijs wordt aangegeven.
    De eigenaar had de auto met twee vrienden oranje geverfd in het kader van het WK voetbal. Omdat de politie ook de beroerdste niet is, is de man te verstaan gegeven dat zijn boete - zestig euro - wordt kwijtgescholden als hij zijn kentekenbewijs laat aanpassen aan de nieuwe kleur van zijn voertuig. Hij krijgt hiervoor twee weken de tijd.

    (bron: www.destentor.nl)
    0 1 2 3 4 5 - Gemiddelde waardering: 0/5 - (0 Stemmen)
    22-06-2010, 00:00 geschreven door isaatje70  
    Klik hier om een link te hebben waarmee u dit artikel later terug kunt lezen.School maakt spelfout
    Klik op de afbeelding om de link te volgen Een opmerkelijke fout op een spandoek bij het Twents Carmel College in Oldenzaal (NL). De school feliciteerde de geslaagde eindexamenleerlingen met een spandoek aan de school, maar daar stond in plaats van 'feliciteert' met een t, feliciteerd met een d. De school begrijpt niet hoe de fout is ontstaan. Inmiddels is het spandoek met de fout vervangen door een spandoek waar 'feliciteert' wel goed op staat.

    (bron: www.waarmaarraar.nl)
    0 1 2 3 4 5 - Gemiddelde waardering: 0/5 - (0 Stemmen)
    22-06-2010, 00:00 geschreven door isaatje70  
    21-06-2010
    Klik hier om een link te hebben waarmee u dit artikel later terug kunt lezen.Andrea Bocelli
    Andrea Bocelli (° Lajático, Toscane, op 22 september 1958) is een Italiaanse tenor, die zowel klassieke als populaire muziek zingt. Tevens zingt hij in enkele opera's en is hij een producer.

    Levensloop

    Andrea Bocelli leed vanaf zijn geboorte aan de oogziekte glaucoom. Op twaalfjarige leeftijd werd hij na een ongeluk met een voetbal helemaal blind, tot dat ogenblik kon hij nog een beetje met zijn recheroog zien.
    Bocelli werd ontdekt door Zucchero, toen deze een tenor zocht voor de demo van Miserere. Uiteindelijk nam Zucchero dit nummer op met Luciano Pavarotti, maar Andrea Bocelli begeleidde Zucchero op zijn internationale concerttour.
    In 1992 trouwde Bocelli met zijn toenmalige liefde Enrica. Ze kregen samen twee zonen, Amos en Matteo.

    Bocelli werd in Italië algemeen bekend na zijn overwinning op het Festival van San Remo in 1994 met Il mare calmo della serra. Het jaar daarop deed hij nog eens mee aan het festival met Con te partirò. Dit nummer nam hij in 1996 opnieuw op, samen met Sarah Brightman onder de titel Time to Say Goodbye, en haalde er een internationale hit mee.
    In 1998 trad Bocelli op in het Kennedy Center in Washington DC en werd hij ontvangen door de toenmalige Amerikaanse president Bill Clinton in het Witte Huis. In datzelfde jaar toerde hij door Amerika en won hij twee World Music Awards, wat hij in 2002 herhaalde. In de jaren daartussen werd hij meerdere malen genomineerd voor een Grammy Award, maar deze heeft hij tot nog toe niet gewonnen. Wel kreeg hij verscheidene andere internationale prijzen toegekend.

    In 2002 scheidden Andrea en Enrica. Zij kenden elkaar uit de tijd dat Andrea een nog totaal onbekende zanger was. Door het plotselinge succes van Andrea en het artiestenleven dat dit met zich meebracht, hield de liefde waarschijnlijk geen stand. Inmiddels is er een nieuwe liefde in zijn leven gekomen, Veronica Berti. Ze wonen samen in een villa in de Toscaanse badplaats Forte dei Marmi.

    In 2005 heeft Bocelli het project Teatro del Silenzio geopend, een openluchttheater nabij het plaatsje Lajático in Toscane. Slechts één keer per jaar, in de maand juli, wordt dit theater opengesteld voor publiek. In de zomer van 2007 heeft Bocelli zijn grote nummers hier tijdens een concert ten gehore gebracht. Tijdens deze avond vond de registratie plaats voor de dvd Vivere, Live in Tuscany. In de zomer van dit jaar zal de laatste editie van het project "Teatro del Silenzio" plaatsvinden.

    Con te partirò

    Klik op onderstaande link om nog eens te luisteren naar zijn mooie liedje:

    http://www.youtube.com/watch?v=tcrfvP11Hbo


    (bronnen: YouTube, Wikipedia en http://events.liveguide.com.au voor de bovenste foto van Bocelli)




    0 1 2 3 4 5 - Gemiddelde waardering: 0/5 - (0 Stemmen)
    21-06-2010, 00:00 geschreven door isaatje70  
    Klik hier om een link te hebben waarmee u dit artikel later terug kunt lezen.Vandaag begint de zomer
    Ik wens iedereen een heel fijne week!




    0 1 2 3 4 5 - Gemiddelde waardering: 0/5 - (0 Stemmen)
    21-06-2010, 00:00 geschreven door isaatje70  
    20-06-2010
    Klik hier om een link te hebben waarmee u dit artikel later terug kunt lezen.Mambo number five - Lou Bega
    Klik op de afbeelding om de link te volgen Klik op de link om te luisteren naar dit vrolijke liedje!

    http://www.youtube.com/watch?v=sLeCcbbI_Os

    (bronnen: YouTube, Wikipedia)
    0 1 2 3 4 5 - Gemiddelde waardering: 0/5 - (0 Stemmen)
    20-06-2010, 00:00 geschreven door isaatje70  
    Klik hier om een link te hebben waarmee u dit artikel later terug kunt lezen.Tram
    Klik op de afbeelding om de link te volgen Een Tsjechische trambestuurder is door de drukke straten van de Tsjechische hoofdstad Praag op een fiets achter zijn lege tram aangereden. De lege tram was om een nog onduidelijke reden uit het depot gereden. In een wanhopige poging om het voertuig tot stilstand te brengen, liep de bestuurder de tram achterna. Vervolgens werd de achtervolging op een fiets voortgezet. Na ongeveer een kilometer kwam de tram tot stilstand, nadat de openbaar-vervoer-maatschappij de stroom had uitgeschakeld. Bij het voorval raakte niemand gewond.

    (bronnen: www.waarmaarraar.nl, www.truckerslatijn.nl)
    0 1 2 3 4 5 - Gemiddelde waardering: 0/5 - (0 Stemmen)
    20-06-2010, 00:00 geschreven door isaatje70  
    Klik hier om een link te hebben waarmee u dit artikel later terug kunt lezen.Citaat van de week
    "Die goede oude tijd: dat was de tijd toen sporthelden nog thuis lunchten en niet in de studio van de reclametelevisie."

    (Robert Lembke - Duits journalist)
    0 1 2 3 4 5 - Gemiddelde waardering: 0/5 - (0 Stemmen)
    20-06-2010, 00:00 geschreven door isaatje70  
    19-06-2010
    Klik hier om een link te hebben waarmee u dit artikel later terug kunt lezen.De Vierde Man
    Klik op de afbeelding om de link te volgen In de jaren tachtig verfilmde Paul Verhoeven de novelle "De Vierde Man" van de Nederlandse schrijver Gerard Reve. Zoals vaker gebeurde tijdens filmopnamen van Verhoeven, liepen de dingen lang niet zo soepel als de betrokkenen graag zouden willen.
    Eén van de problemen waar de filmcrew gedurende de hele opnamen te maken had, was het slechte eten. Verhoeven had al zijn tact nodig om een staking onder acteurs en filmploeg te voorkomen, al bleef de kwaliteit van het eten slecht.
    Schrijver Gerard Reve kwam een dagje kijken op de set. Volgens Thom Hoffman, een van de hoofdrolspelers in de film, liep Reve rond als een blij kind. Toen Hoffman tegen Reve klaagde over de kwaliteit van het eten, antwoordde Reve monter: "Ach, ik leef soms dagen op hosties."

    (bron: www.anekdotes.net)

    0 1 2 3 4 5 - Gemiddelde waardering: 0/5 - (0 Stemmen)
    19-06-2010, 00:00 geschreven door isaatje70  
    Klik hier om een link te hebben waarmee u dit artikel later terug kunt lezen.Konijntjes
    Klik op de link om een grappig reclamespotje voor Renault te bekijken:

    http://www.funnyplace.org/stream.php?id=15793
    0 1 2 3 4 5 - Gemiddelde waardering: 0/5 - (0 Stemmen)
    19-06-2010, 00:00 geschreven door isaatje70  
    Klik hier om een link te hebben waarmee u dit artikel later terug kunt lezen.Fijn weekend
    Ik wens iedereen een heel fijn weekend! Groetjes, Isabel




    0 1 2 3 4 5 - Gemiddelde waardering: 0/5 - (0 Stemmen)
    19-06-2010, 00:00 geschreven door isaatje70  
    18-06-2010
    Klik hier om een link te hebben waarmee u dit artikel later terug kunt lezen.Vriendschap
    Klik op onderstaande link om een mooi reclamespotje voor Toshiba te bekijken:

    http://www.funnyplace.org/stream.php?id=15809
    0 1 2 3 4 5 - Gemiddelde waardering: 0/5 - (0 Stemmen)
    18-06-2010, 14:56 geschreven door isaatje70  
    Klik hier om een link te hebben waarmee u dit artikel later terug kunt lezen.Smithsonian
    Klik op de afbeelding om de link te volgen Het Smithsonian is het grootste museum ter wereld en bevindt zich in Washington DC, in Amerika. Het telefoonteam krijgt dagelijks vragen zoals: "Hoe kom ik daar?" en "Tot hoe laat bent u open?" maar soms krijgen ze ook wel eens gekke vragen. Lees even mee:

    - Waar bewaart u de vliegende schotels die u heeft veroverd?
    - Heeft u de originele Bijbel? U weet wel, Mozes, de tien geboden, de stenen tafels...?
    - Hoe heet de man die het wiel uitgevonden heeft? (een medewerkster van het telefoonteam antwoordde: Hoe weet u dat dat een man was?)
    - Hoe zeg je "ik denk aan jou" in Apachetaal?
    - Kunt u mij alle informatie bezorgen over de evolutie van de mensheid, ook de geheimen?
    - Staan er vliegtuigen uit de Burgeroorlog in het museum? (de Amerikaanse oorlog vond plaats tussen 1861 en 1865)
    - En ten slotte wilde iemand nog een verzameling chips schenken die lijken op 'bekende mensen en dieren'...

    (bronnen: Wikipedia, www.ahajokes.com)
    0 1 2 3 4 5 - Gemiddelde waardering: 0/5 - (0 Stemmen)
    18-06-2010, 09:28 geschreven door isaatje70  
    Klik hier om een link te hebben waarmee u dit artikel later terug kunt lezen.Waka Waka - Shakira
    Klik op de afbeelding om de link te volgen Klik op onderstaande link om te luisteren naar het officiële WK-voetbal lied:

    http://www.youtube.com/watch?v=aO3PYGXqCUs&feature=related

    (bronnen: YouTube, Wikipedia)
    0 1 2 3 4 5 - Gemiddelde waardering: 0/5 - (0 Stemmen)
    18-06-2010, 00:00 geschreven door isaatje70  
    17-06-2010
    Klik hier om een link te hebben waarmee u dit artikel later terug kunt lezen.Bugatti Veyron van 10.280 pakjes sigaretten
    Klik op de afbeelding om de link te volgen Om hun leeftijdsgenoten te waarschuwen voor de gevolgen van roken, hebben Chinese studenten van de universiteit van Xi'an een replica gebouwd van een van de duurste auto's ter wereld, een Bugatti Veyron, maar dan met 10.280 lege pakjes sigaretten. Acht maanden hebben ze aan dit huzarenstukje gepuzzeld. De Bugatti weegt 300 kilo en rijdt zelfs dankzij een elektrisch motortje. China telt 400 miljoen rokers, een wereldrecord.

    (bron: www.waarmaarraar.nl)
    0 1 2 3 4 5 - Gemiddelde waardering: 0/5 - (0 Stemmen)
    17-06-2010, 15:13 geschreven door isaatje70  
    Klik hier om een link te hebben waarmee u dit artikel later terug kunt lezen.Melkboer
    Met pensioen en toch nog op melkronde... Klik op de link om dit grappige reclamespotje te bekijken:

    http://www.funnyplace.org/stream.php?id=15785
    0 1 2 3 4 5 - Gemiddelde waardering: 0/5 - (0 Stemmen)
    17-06-2010, 00:00 geschreven door isaatje70  
    Klik hier om een link te hebben waarmee u dit artikel later terug kunt lezen.Oude schoen
    Archeologen hebben in een grot in Armenië een leren schoen van 5500 jaar oud gevonden (bovenste foto). Wetenschappers van het archeologisch instituut hebben dat vorige week bekendgemaakt.
    De vondst werd al in 2008 gedaan. Pas recent werd echter de exacte ouderdom van de schoen vastgesteld. Een mens heeft de schoen rond 3500 voor Christus gemaakt. Het gaat om een schoen bedoeld voor een rechtervoet. Het schoeisel heeft een lengte van 24,5 centimeter en is ongeveer 10 centimeter breed.
    Of de schoen gebruikt werd door een man of vrouw is niet bekend. Het schoeisel is gemaakt uit één stuk leer, vermoedelijk afkomstig van een varken of stier. Dankzij de klimatologische omstandigheden van de grot in de Kaukasus is de schoen zeer goed bewaard gebleven.
    Hoe lang mensen al leren schoeisel gebruiken is niet helemaal duidelijk. Gelooid leer blijft normaal gesproken niet duizenden jaren bestaan. De vondst in Armenië is dan ook bijzonder. Dat mensen al duizenden jaren geleden gebruik maakten van leren schoeisel wordt al langer aangenomen.
    De onderzoekers hebben hun bevindingen gepubliceerd in het wetenschappelijke tijdschrift PLoS One.
    In 1938 werden in de Amerikaanse staat Oregon de oudste schoenen ooit gevonden (onderste foto). In een grot bij Fort Rock vonden archeologen toen een groot aantal sandalen uit ongeveer 7500 voor Christus. Dit schoeisel was gemaakt van plantaardig materiaal.

    (bron: http://historiek.net)




    0 1 2 3 4 5 - Gemiddelde waardering: 0/5 - (0 Stemmen)
    17-06-2010, 00:00 geschreven door isaatje70  
    16-06-2010
    Klik hier om een link te hebben waarmee u dit artikel later terug kunt lezen.Hey Matthew
    Klik op de afbeelding om de link te volgen Klik op de link om te luisteren naar dit mooie liedje van de Britse zanger Karel Fialka (uit 1987) :

    http://www.youtube.com/watch?v=X0LvdAuK9tA&a=1hs-TKfPVts&playnext_from=ML


    (bronnen: YouTube, Wikipedia, www.radiovisie.eu)
    0 1 2 3 4 5 - Gemiddelde waardering: 0/5 - (0 Stemmen)
    16-06-2010, 09:34 geschreven door isaatje70  
    Klik hier om een link te hebben waarmee u dit artikel later terug kunt lezen.Voedselgevecht
    Klik op de afbeelding om de link te volgen In een Amerikaans fastfoodrestaurant Wendy's liep een stukje miscommunicatie uit op een ouderwets voedselgevecht. Nadat klanten naar hun mening een verkeerde order hadden gekregen bij de drive-thru, begonnen ze met drank, hamburgers en frieten naar een werknemer te gooien die binnen stond. Deze liet dat niet op zich zitten en gooide ketchup, drank en frieten terug naar de auto. Twee mannen stapten vervolgens uit de auto en gingen naar binnen om daar met de werknemers van het fastfoodrestaurant op de vuist te gaan. Het werd allemaal weer rustig toen de politie arriveerde en de twee agressieve klanten aanhield. De werknemer had schrammen en schaafwonden maar hoefde niet naar het ziekenhuis voor verdere behandeling.

    (bronnen: www.waarmaarraar.nl, http://adpereira.files.wordpress.com)
    0 1 2 3 4 5 - Gemiddelde waardering: 0/5 - (0 Stemmen)
    16-06-2010, 00:00 geschreven door isaatje70  
    15-06-2010
    Klik hier om een link te hebben waarmee u dit artikel later terug kunt lezen.Downtown
    Klik op de afbeelding om de link te volgen Klik op de link om te luisteren naar dit mooie liedje van de Engelse zangeres Petula Clark (uit 1964):

    http://www.youtube.com/watch?v=FKCnHWas3HQ


    (bronnen: YouTube, Wikipedia, www.celebritiesfans.com)
    0 1 2 3 4 5 - Gemiddelde waardering: 0/5 - (0 Stemmen)
    15-06-2010, 00:00 geschreven door isaatje70  
    Klik hier om een link te hebben waarmee u dit artikel later terug kunt lezen.Boef met pech
    Klik op de afbeelding om de link te volgen Een 29-jarige inbreker viel in de nacht van (vorige) donderdag op vrijdag wel heel opvallend door de mand. Hij had zich na een inbraak in een bedrijfspand in Utrecht (NL) op een plafond verstopt voor de politie, maar zakte erdoorheen en kwam terecht voor de voeten van een agent. Dat meldde de politie afgelopen vrijdag.
    De inbraak van de man zonder vaste woon- of verblijfplaats deed het alarm van het pand afgaan, waarop de politie een kijkje kwam nemen. Samen met een politiehond doorzochten ze alle verdiepingen. Op de gipsplaten van het plafond op de eerste verdieping gaven handafdrukken de schuilplaats van de inbreker weer. Hij had zich verschanst bovenop de plafondplaten.
    De man had zich daar stilgehouden in de hoop dat hij aan de agenten kon ontkomen, maar zijn schuilplaats bleek weinig bestendig voor zijn gewicht. De inbreker is voor verhoor meegenomen naar het bureau.

    (bronnen: www.destentor.nl, http://parakalo.wordpress.com)
    0 1 2 3 4 5 - Gemiddelde waardering: 0/5 - (0 Stemmen)
    15-06-2010, 00:00 geschreven door isaatje70  
    Klik hier om een link te hebben waarmee u dit artikel later terug kunt lezen.Wietplantage in tuin klooster
    De politie in Uganda heeft in de tuin van een klooster een wietplantage ontdekt. Dat meldde de BBC afgelopen zondag. De nonnen beweren dat zij de drugs gebruikten om boerderijdieren te behandelen. De planten werden gevonden in het district Masaka, in het midden van het land. Ze besloegen volgens een regionale politiechef honderd vierkante meter. Twee kruiers zijn opgepakt, de nonnen voorlopig niet. De zaak wordt onderzocht.

    (bron: www.waarmaarraar.nl)
    0 1 2 3 4 5 - Gemiddelde waardering: 0/5 - (0 Stemmen)
    15-06-2010, 00:00 geschreven door isaatje70  
    14-06-2010
    Klik hier om een link te hebben waarmee u dit artikel later terug kunt lezen.Massage
    Klik op onderstaande link om een grappig reclamespotje voor 7Up te bekijken:

    http://www.funnyplace.org/stream.php?id=15753
    0 1 2 3 4 5 - Gemiddelde waardering: 0/5 - (0 Stemmen)
    14-06-2010, 09:37 geschreven door isaatje70  
    Klik hier om een link te hebben waarmee u dit artikel later terug kunt lezen.Bord leegeten of een boete
    Klik op de afbeelding om de link te volgen Een milieubewuste restauranthouder in Australië pikt het niet meer dat klanten hun bord niet leegeten. Dat is slecht voor de aarde. Klanten die toch voedsel laten liggen krijgen een boete en mogen nooit meer terug komen.
    Het gaat om Yukako Ichikawa, een in Australië wonende Japanse die een Japans restaurant heeft in Surry Hills, een buitenwijk van Sydney. Dat schrijft persbureau Reuters.

    Korting
    Op de menukaart staat uitgelegd dat wie het bord leegeet, een korting krijgt van 30 procent. Voorwaar geen klein bedrag. Maar wie eten laat liggen moet het volle pond betalen en mag bovendien nooit meer komen eten in het restaurant.
    Dat gaat ver, beseft ook Ichikawa, maar ze is het beu dat ze aan het einde van de avond zo verkwistend veel voedsel weg moet gooien.

    Laten liggen
    De klanten mogen alleen de eventuele citroenschillen, gember en wasabi laten liggen, de rest moet op. Inclusief het groenspul dat zo vaak wordt aangezien als decoratie. "Dat is groente of salade en géén versiering, dat moet dus ook op," meldt het menu.
    Sommige restaurantrecensenten zijn kritisch over de eisen die Ichikawa stelt, maar dat interesseert haar niet. Duurzaamheid en het milieu vindt ze vele malen belangrijker.

    (bronnen: www.nieuwsmeteenglimlach.nl en http://sporeflections.files.wordpress.com)
    0 1 2 3 4 5 - Gemiddelde waardering: 0/5 - (0 Stemmen)
    14-06-2010, 09:32 geschreven door isaatje70  
    Klik hier om een link te hebben waarmee u dit artikel later terug kunt lezen.Goeiemorgen!
    Ik wens iedereen een heel fijne nieuwe week!




    0 1 2 3 4 5 - Gemiddelde waardering: 2/5 - (1 Stemmen)
    14-06-2010, 09:20 geschreven door isaatje70  
    13-06-2010
    Klik hier om een link te hebben waarmee u dit artikel later terug kunt lezen.Citaat van de week
    "Alles moet zo simpel mogelijk gemaakt worden, maar niet simpeler."

    (Albert Einstein)
    0 1 2 3 4 5 - Gemiddelde waardering: 0/5 - (0 Stemmen)
    13-06-2010, 00:00 geschreven door isaatje70  
    Klik hier om een link te hebben waarmee u dit artikel later terug kunt lezen.Reclame
    Klik op onderstaande link om naar een grappig reclamespotje te kijken:

    http://www.funnyplace.org/stream.php?id=15744


    0 1 2 3 4 5 - Gemiddelde waardering: 0/5 - (0 Stemmen)
    13-06-2010, 00:00 geschreven door isaatje70  
    12-06-2010
    Klik hier om een link te hebben waarmee u dit artikel later terug kunt lezen.Save a Prayer
    Klik op de afbeelding om de link te volgen Klik op de link om te luisteren naar dit mooie liedje van de Britse groep Duran Duran (uit 1985):

    http://www.youtube.com/watch?v=VCD4rtcOgHE&feature=related

    (bronnen: YouTube, Wikipedia en www.lazermusica.com voor de foto)
    0 1 2 3 4 5 - Gemiddelde waardering: 0/5 - (0 Stemmen)
    12-06-2010, 10:35 geschreven door isaatje70  
    Klik hier om een link te hebben waarmee u dit artikel later terug kunt lezen.Weekend groetjes
    Ik wens iedereen een fijn weekend en voor zondag wens ik alle papa's een superleuke Vaderdag!




    0 1 2 3 4 5 - Gemiddelde waardering: 0/5 - (0 Stemmen)
    12-06-2010, 00:00 geschreven door isaatje70  
    11-06-2010
    Klik hier om een link te hebben waarmee u dit artikel later terug kunt lezen.Sollicitaties in een interimkantoor
    Deze "pareltjes" komen écht uit sollicitatiebrieven die naar een interimkantoor gestuurd zijn. Ongelooflijk maar waar.....!

    "Feitenlijk alleenstaand single en wonend in een gekocht huis dat van men eigen is."

    Dit zijn de competenties van een kandidaat die reeds bij "Maiski" had gewerkt:
    - Salaat in pottekes doen
    - Salaat kuisen
    - Salaat sorteeren
    - Alles wat met salaat maaken heefd

    Een spontane sollicitatie in de verkoop: "Ik kan goet met mensen om, mensen hebben mij graag en ik hun, ik zoek dus een werk als vertegenwoordiger of in de verkoop omdat ik van menselijk kontact houd. Ik ben dus zeer contactvaardig. Ik ben neig sociaal. Ik ben direct vrij want ik zen alleen."

    Ook een spontane sollicitatie: "Ik wil werken in den ALDI want daar gaan ik graag. Den Delhais is niks voor mij."

    De 'comptenties' van iemand die in de horeca wil werken: "Ik kan opdienen met 3 borden, het aantal glazen weet ik ni, want als ne platoo vol sta hang et er van af of er bv e duvelglas of ne coca op staat. Den ene platoo is dus voller als den andere."

    Via mail: "Ik kan ni lang rechtstaan want ik hem platvoeten. Daar is niks aan te doen. Den doktoor zegt dat ik zo gebooren ben."

    Idem: "Ik wil werk. Ik heb mijn kinderen om de 2 weken. Ik zoek dus e werk waar ik 2 weken wel en 2 weken ni werk. Ik wil alles doen."

    Deze is van een poetsvrouw: "Hallo, ik zen Rita en ik zen 56 jaar, ik kuis graag. Mijn man zegt, ga dan iets verdienen met te kuisen want dat kunt ge goed. Ik zoek dus een werk om te kuisen. Ik zen proper op men eigen, maar zekers ook in huis. Liefst 1 of dagen in de week, maar ni op woensdag, want dan kuis ik zelf bij mij. Ik breng zelf alles mee, want ik kuis enkel met MR Proper of ST Marc, da zijn de beste."

    Deze komt van een zwangere vrouw: "Ik ben reeds 5 maand in verwachting. Ik weet niet of ik daarna nog kan werken, want als de kleine van Benny is moet ik van hem niet meer gaan werken, maar als Ludo de vader is dan is het dringend dat ik een werk nodig heb, want dan wilt Benny er niks meer mee te maken hebben, en Ludo heeft ook geen werk."

    (bron: www.lachjekrom.com)



    0 1 2 3 4 5 - Gemiddelde waardering: 0/5 - (0 Stemmen)
    11-06-2010, 10:21 geschreven door isaatje70  
    Klik hier om een link te hebben waarmee u dit artikel later terug kunt lezen.Hotel van afval
    Klik op de afbeelding om de link te volgen De stad Rome heeft er een bijzondere attractie bij: een hotel dat is opgetrokken uit afval. Milieuorganisatie Save The Beach wil op die manier protesteren tegen de vervuiling van de stranden. Het hotel pal in het centrum van Rome is een creatie van de Duitse kunstenaar H.A. Shult, die eerder al stof deed opwaaien met kunstwerken uit afval. Hij sloeg de handen ineen met Save The Beach om aandacht te vragen voor de groeiende vervuiling van de Europese stranden. Het resultaat is een hotel dat opgetrokken is uit 12 ton afval dat op de stranden is verzameld.
    "Dit hotel wil de schade tonen die we toebrengen aan de zee en de kustlijn," zegt de kunstenaar. "We leven in een tijdperk van afval en we lopen het risico zelf ook afval te worden. Willen we echt in deze wereld leven?"
    Het hotel is niet enkel aan de buitenkant opgetrokken met vuilnis, ook binnenin de kamers zijn de muren bedekt met, weliswaar gedesinfecteerd, afval. Dat heeft niet meteen gasten afgeschrikt, want het hotel is helemaal volgeboekt. Eén van de bekende gasten is voormalig topmodel en fotografe Helena Christensen, die een nachtje tussen roeste blikjes en plastic doorbrengt om het project te steunen.

    (bron: www.waarmaarraar.nl)
    0 1 2 3 4 5 - Gemiddelde waardering: 0/5 - (0 Stemmen)
    11-06-2010, 10:05 geschreven door isaatje70  
    10-06-2010
    Klik hier om een link te hebben waarmee u dit artikel later terug kunt lezen.Goudkorrel
    Eén zwaluw maakt geen zomer,
    één vis is nog geen vangst,
    een schuit geen cruiseschip
    en schrik is nog geen angst.
    Eén vlok is nog geen sneeuwbui,
    één drop geen waterplas,
    zeilers zijn nog geen zeelui,
    één spriet maakt nog geen gras.
    Eén kamer maakt geen woning.
    Een tree, dat is geen trap
    en meel, dat is geen pap.
    Eén leugen is geen krant,
    een woordentwist geen moord
    en 'ja' geen erewoord.
    Een zucht is nog geen wanhoop,
    één traan geen zee van leed.
    Een wandeling is geen wedloop,
    een 'pst' nog lang geen kreet.
    Maar er is een uitzondering, alsjeblief:
    als je eenmaal hebt gestolen,
    noemt men je eeuwig dief.

    (bron: De Druivelaar)

     


    0 1 2 3 4 5 - Gemiddelde waardering: 0/5 - (0 Stemmen)
    10-06-2010, 10:28 geschreven door isaatje70  
    Klik hier om een link te hebben waarmee u dit artikel later terug kunt lezen.Opschepper!
    Klik op onderstaande link om een grappig reclamespotje te bekijken:

    http://www.funnyplace.org/stream.php?id=15694
    0 1 2 3 4 5 - Gemiddelde waardering: 0/5 - (0 Stemmen)
    10-06-2010, 00:00 geschreven door isaatje70  
    Klik hier om een link te hebben waarmee u dit artikel later terug kunt lezen.I Know Him So Well
    Klik op onderstaande link om te luisteren naar (en te genieten van) dit mooie liedje van het duo Elaine Paige en Barbara Dickson:

    http://www.youtube.com/watch?v=z2IkLGFiKx0

    (bronnen: YouTube, www.voiceprint.co.uk voor de foto van Barbara Dickson en www.whatsonstage.com voor de foto van Elaine Paige)




    0 1 2 3 4 5 - Gemiddelde waardering: 0/5 - (0 Stemmen)
    10-06-2010, 00:00 geschreven door isaatje70  
    Klik hier om een link te hebben waarmee u dit artikel later terug kunt lezen.Artistiek
    Klik op de afbeelding om de link te volgen In het dierenpark Apenheul, in het Nederlandse Apeldoorn, zitten ze met een artistieke dierenpopulatie. Een schilderij dat door een orang-oetan werd gemaakt, bracht 2.500 euro op. Dat meldt het dierenpark.
    Dat de orang-oetan Karl per opbod 2.500 euro ving voor zijn schilderij op de online verkoopsite Marktplaats.nl is bijzonder straf. Dat hij schildertalent heeft is blijkbaar niet zo uitzonderlijk: volgens een Apenheul-woordvoerder schilderen mensapen wel vaker. Bij slecht weer krijgen ze verf en papier, en slaan de dieren "uit vrije wil" aan het schilderen.
    Wat dit specifieke schilderijtje de moeite waard maakte, is dat het mogelijk het laatste werk is van de 50-jarige Karl, de oudste van zijn soort in het park. "Hij is oud en heeft er geen zin meer in," klinkt het bij het dierenpark.
    De som gaat evenwel niet naar Karl zelf. De 2.500 euro die het schilderij opbracht, wordt door de zoo nog eens verdubbeld en gaat naar een project op Borneo waarbij orang-oetans worden opgevangen.

    (bronnen: www.nieuwsmeteenglimlach.nl en www.ida.classy.be)
    0 1 2 3 4 5 - Gemiddelde waardering: 0/5 - (0 Stemmen)
    10-06-2010, 00:00 geschreven door isaatje70  
    09-06-2010
    Klik hier om een link te hebben waarmee u dit artikel later terug kunt lezen.Grasmaaier
    Grappig reclamespotje voor een verzekeringsmaatschappij:

    http://www.funnyplace.org/stream.php?id=15660

    (klik op de link)
    0 1 2 3 4 5 - Gemiddelde waardering: 0/5 - (0 Stemmen)
    09-06-2010, 00:00 geschreven door isaatje70  
    Klik hier om een link te hebben waarmee u dit artikel later terug kunt lezen.Jaws
    Klik op de afbeelding om de link te volgen

    Een journalist van de Amerikaanse radiozender NPR heeft de enige nog overgebleven haai uit de beroemde film Jaws teruggevonden. Dat meldde de website van de site afgelopen zaterdag.
    De reporter ging op zoek naar het dier omdat het volgende week exact 35 jaar geleden is dat de thriller van regisseur Steven Spielberg in première ging. De drie enorme mechanische haaien die werden gebruikt voor de film zijn vlak na de opnames vernietigd. Maar uit dezelfde mal bleek nog een vierde exemplaar te zijn gegoten, dat 15 jaar lang in het Universal Studios Park in Los Angeles heeft gehangen.
    Daarna bleek de haai, die regisseur Spielberg de naam Bruce had gegeven, aan een schroothandelaar te zijn verkocht. De journalist vond de haai terug in de opslagplaats van die schroothandelaar. Degene die assistent van Spielberg was tijdens de opnames van Jaws, heeft bevestigd dat het echt de vierde haai is.
    Het is nog niet duidelijk wat er nu met Bruce gaat gebeuren. Mogelijk krijgt de oude haai een bijrolletje in een remake van de beroemde film die in de maak zou zijn.

    (bronnen: www.nu.nl, www.bertsgeschiedenissite.nl)


    0 1 2 3 4 5 - Gemiddelde waardering: 0/5 - (0 Stemmen)
    09-06-2010, 00:00 geschreven door isaatje70  
    08-06-2010
    Klik hier om een link te hebben waarmee u dit artikel later terug kunt lezen.Umbrella
    Klik op de afbeelding om de link te volgen Klik op de link om te luisteren naar dit mooie liedje van de Duitse groep The Baseballs:

    http://www.youtube.com/watch?v=DM2177pHMT0


    (bronnen: YouTube, http://muziekenfilmgek.punt.nl)
    0 1 2 3 4 5 - Gemiddelde waardering: 0/5 - (0 Stemmen)
    08-06-2010, 00:00 geschreven door isaatje70  
    Klik hier om een link te hebben waarmee u dit artikel later terug kunt lezen.Leuke zinnetjes
    1. Degene die snurkt, valt het eerst in slaap.
    2. De lengte van een huwelijk is omgekeerd evenredig met de hoeveelheid geld die besteed is aan de bruiloft.
    3. De kado's die je koopt voor je echtgenote zijn nooit zo goed en handig als de kado's die je buren kopen voor hun echtgenotes.
    4. Tandpijn begint altijd op vrijdagavond, net voor het weekend wanneer de praktijk van de tandarts gesloten is.
    5. Mensen die veel tijd hebben, brengen die bij voorkeur door bij mensen die dat niet hebben.
    6. Je mist iets pas wanneer je het niet meer hebt.
    7. Wie het laatst lacht, is traag van begrip.
    8. Iemand die te laat in de bioscoop komt, zit altijd in het midden van jouw rij.
    9. De kortste afstand tussen een klein kind en een breekbaar voorwerp is steeds een rechte lijn.
    10. De etenswaar die het gewicht van vrouwen met 80 procent doet toenemen, noemt men bruidstaart.
    11. Een telefoon stopt altijd met rinkelen, net voordat je de hoorn opneemt.
    12. De telefoon gaat altijd net wanneer je op de wc zit.
    13. De wc-rol is alleen leeg als je zelf op het toilet zit.
    14. Internet doet het nooit als je het nodig hebt.
    15. Ook armen hebben benen.
    16. Als je iets kwijt bent, ligt het altijd op de laatste plaats waar je zoekt.
    17. Als je iets niet nodig hebt dan ligt het in de weg en als je het nodig hebt is het er niet meer.
    18. Bier is eerder op dan je lief is.
    19. Als je een afspraak maakt bij de dokter, zijn je klachten over op het moment dat je daar aankomt.
    20. Vrouwen houden van katten. Mannen zeggen dat ze van katten houden, maar als de vrouw niet kijkt, geven ze de kat een trap.

    (bronnen: www.lachjekrom.com en www.jokesclean.com)

    0 1 2 3 4 5 - Gemiddelde waardering: 0/5 - (0 Stemmen)
    08-06-2010, 00:00 geschreven door isaatje70  
    07-06-2010
    Klik hier om een link te hebben waarmee u dit artikel later terug kunt lezen.Muis
    Klik op de link om naar een grappig reclamespotje te kijken:

    http://www.funnyplace.org/stream.php?id=15668
    0 1 2 3 4 5 - Gemiddelde waardering: 0/5 - (0 Stemmen)
    07-06-2010, 09:55 geschreven door isaatje70  
    Klik hier om een link te hebben waarmee u dit artikel later terug kunt lezen.Oude man zorgt voor verkeerschaos
    Klik op de afbeelding om de link te volgen Een man van 90 jaar oud heeft in Groot-Brittannië voor heel wat verkeerschaos gezorgd. De man had er niet beter op gevonden dan met zijn scootmobiel een autosnelweg op te rijden. De scootmobiel reed echter maar 12 km/u op een baan waar je normaal 120 km/u mag rijden. Het gevolg: een file van meer dan 6 kilometer lang. Uiteindelijk heeft de politie de man met politiewagens moeten begeleiden naar de volgende afrit want er was geen pechstrook. De man was onderweg naar een vriend die 12 kilometer verder woonde en vertelde dat hij niet wist dat hij met zijn scootmobiel de snelweg niet op mocht.

    (bronnen: www.waarmaarraar.nl en www.ango.nl)
    0 1 2 3 4 5 - Gemiddelde waardering: 0/5 - (0 Stemmen)
    07-06-2010, 09:53 geschreven door isaatje70  
    06-06-2010
    Klik hier om een link te hebben waarmee u dit artikel later terug kunt lezen.Look Through My Eyes
    Klik op de afbeelding om de link te volgen Klik op onderstaande link om te luisteren naar dit mooie liedje van Phil Collins:

    http://www.youtube.com/watch?v=t0TvoCZJAJI&feature=related

    (bronnen: YouTube, www.palzoo.net)
    0 1 2 3 4 5 - Gemiddelde waardering: 0/5 - (0 Stemmen)
    06-06-2010, 00:00 geschreven door isaatje70  
    05-06-2010
    Klik hier om een link te hebben waarmee u dit artikel later terug kunt lezen.Weekend groetjes
    Ik wens iedereen een heel fijn weekend! Geniet ervan!

    (deze afbeeldingen komen van de site www.animaatjes.nl)




    0 1 2 3 4 5 - Gemiddelde waardering: 2/5 - (3 Stemmen)
    05-06-2010, 00:00 geschreven door isaatje70  
    04-06-2010
    Klik hier om een link te hebben waarmee u dit artikel later terug kunt lezen.Doedelzak
    Heel grappig reclamespotje voor Whiskas:

    http://www.funnyplace.org/stream.php?id=15634

    (klik op de link)

    0 1 2 3 4 5 - Gemiddelde waardering: 0/5 - (0 Stemmen)
    04-06-2010, 00:00 geschreven door isaatje70  
    Klik hier om een link te hebben waarmee u dit artikel later terug kunt lezen.Verkeersengel
    Klik op de afbeelding om de link te volgen Hoe maak je snelheidsduivels bewust van hun gevaarlijke weggedrag? Door ze de stuipen op het lijf te jagen en een engel langs de kant neer te zetten. Dat is de oplossing volgens de politie van Fribourg in Zwitserland.
    Weggebruikers in Fribourg zullen drie keer met hun ogen knipperen als ze langs de nieuwe actie van de plaatselijke politie rijden. Een als engel verklede vrijwilliger gebaart naar de auto's dat ze langzamer moeten rijden. "De verkeersengel is speciaal getraind op zijn reactievermogen," aldus een woordvoerder van de Fribourgse politie. Dat is maar goed ook, want hij springt ook voor auto's om bestuurders op te laten letten. De engel is onderdeel van de plaatselijke campagne Slow down, take it easy.
    Fribourg heeft met zijn keuze een opvallende stunt in huis gehaald, maar of die ook veilig is? Volgens de woordvoerder zijn er nog geen ongelukken gebeurd. "Tot nu toe zijn er alleen maar positieve reacties gekomen. Mensen vinden het grappig en zijn enthousiast." De engel staat niet op een vaste plek, maar verschijnt iedere keer op een andere locatie in de regio.

    (bronnen: www.nieuwsmeteenglimlach.nl, http://members.home.nl/doeeenwens)


    0 1 2 3 4 5 - Gemiddelde waardering: 0/5 - (0 Stemmen)
    04-06-2010, 00:00 geschreven door isaatje70  
    Klik hier om een link te hebben waarmee u dit artikel later terug kunt lezen.I Get Around - The Beach Boys
    Omdat het zonnig weer is, zet ik eens een vrolijk liedje op mijn blog vandaag!

    http://www.youtube.com/watch?v=mN7Xs9WVNBU&feature=related

    Je hoort het liedje "I Get Around" van de Amerikaanse groep The Beach Boys uit 1964.

    (klik op de link)

    (bronnen: YouTube, Wikipedia en www.arthurfromholland.blogspot.com voor de bovenste foto)





    0 1 2 3 4 5 - Gemiddelde waardering: 4/5 - (1 Stemmen)
    04-06-2010, 00:00 geschreven door isaatje70  
    03-06-2010
    Klik hier om een link te hebben waarmee u dit artikel later terug kunt lezen.Grappig weetje
    Vijf op de vier Belgen hebben problemen met statistieken...
    0 1 2 3 4 5 - Gemiddelde waardering: 0/5 - (0 Stemmen)
    03-06-2010, 00:00 geschreven door isaatje70  
    Klik hier om een link te hebben waarmee u dit artikel later terug kunt lezen.Protest tegen straf
    In Tuttlingen in Duitsland heeft een twaalfjarige jongen de politie gebeld met de vraag of ze hem in een pleeggezin konden onderbrengen. De jongen was het niet eens met de schrijfstraf die zijn ouders hem hadden opgelegd.
    De jongen moest 200 keer "Ik mag thuis niet met de bal spelen" schrijven. Maar na 22 lijnen hield hij het voor bekeken. De jongen belde de politie en vroeg of ze hem in een pleeggezin wilden zetten, waarop hij inhaakte.
    De politie stuurde meteen een patrouille om uit te zoeken wat er aan de hand was. Na een gesprek met de jongen op zijn kamer, wilde hij toch blijven. De agenten legden hem uit dat hij de straf had gekregen omdat hij niet had geluisterd. Of de jongen ook de straf moest afmaken, is niet geweten.

    (bron: www.nieuwsblad.be)
    0 1 2 3 4 5 - Gemiddelde waardering: 1/5 - (1 Stemmen)
    03-06-2010, 00:00 geschreven door isaatje70  
    Klik hier om een link te hebben waarmee u dit artikel later terug kunt lezen.Te dikke vogel moet op dieet
    Klik op de afbeelding om de link te volgen Een Australische vogel volgt verplicht een dieet omdat het dier te dik was geworden om te vliegen. De kookaburra (lachvogel) werd in een park in Sydney met barbecueworstjes gevoerd.
    Het corpulente dier woog uiteindelijk 565 gram, en was daarmee bijna veertig procent zwaarder dan een normaal volwassen exemplaar. Een bezorgde inwoner bracht de kookaburra naar de dierentuin nadat hij gezien had dat honden achter het vleugellamme dier aanzaten. In de zoo volgt de vogel nu een speciaal dieet.

    (bronnen: www.nieuwsblad.be en www.adrianbruce.com)
    0 1 2 3 4 5 - Gemiddelde waardering: 0/5 - (0 Stemmen)
    03-06-2010, 00:00 geschreven door isaatje70  
    02-06-2010
    Klik hier om een link te hebben waarmee u dit artikel later terug kunt lezen.Respect!
    Klik op de link om naar een grappig reclamespotje voor Harley Davidson te kijken:

    http://www.funnyplace.org/stream.php?id=15636
    0 1 2 3 4 5 - Gemiddelde waardering: 4/5 - (1 Stemmen)
    02-06-2010, 16:11 geschreven door isaatje70  
    Klik hier om een link te hebben waarmee u dit artikel later terug kunt lezen.Hey Soul Sister
    Klik op de afbeelding om de link te volgen Klik op de link om te luisteren naar dit vrolijke liedje van de Amerikaanse band Train:

    http://www.youtube.com/watch?v=tglSCIpaXPs

    (bronnen: YouTube, www.tunesmate.com voor de foto)
    0 1 2 3 4 5 - Gemiddelde waardering: 0/5 - (0 Stemmen)
    02-06-2010, 00:00 geschreven door isaatje70  
    Klik hier om een link te hebben waarmee u dit artikel later terug kunt lezen.Me Tarzan
    Peter Johann Weissmüller (° Freidorf (Oostenrijk-Hongarije) 2 juni 1904 - + Acapulco (Mexico) 20 januari 1984) was een zwemkampioen in de jaren 20 van de twintigste eeuw en vertolker van Tarzan tussen 1932 en 1948.

    Weismüllers jeugd
    Hij werd geboren als Peter Johann Weismüller in Freidorf in het toenmalige Oostenrijks-Hongaarse wijk (een wijk in het huidige Timisoara in Roemenië) en gedoopt als János Weismüller. Zijn ouders waren de Duitssprekende Oostenrijkers Petrus Weißmüller en Erszébet Kersch.
    Toen Johnny zeven maanden oud was, verhuisde de familie naar de Verenigde Staten. Met de SS Rotterdam vertrokken zij op 14 januari 1905 uit Rotterdam en kwamen twaalf dagen later aan in New York. Bij aankomst werden hun namen veranderd in de meer Engels klinkende namen Peter, Elizabeth en Johann Weismüller.
    Na een kort verblijf in Chicago, Illinois, waar ze familie bezochten, verhuisden ze naar de mijnstad Windber in Pennsylvania. Peter Weismüller werkte hier als mijnwerker. Op 3 september 1905 werd een broertje van Johnny geboren: Peter Weismüller Jr.
    Na een aantal jaren in Pennsylvania gewoond te hebben, verhuisde de familie naar Chicago. Johnny's vader was de eigenaar van een bar en zijn moeder werd chefkok in een restaurant. Uit documenten die Elizabeth Weismüller indiende in Chicago blijkt dat zijn ouders later scheidden. Zijn moeder werd dus geen weduwe van Johnny's vader (die zou zijn overleden aan tuberculose als gevolg van zijn werk in de mijnen) zoals veel bronnen verkeerdelijk melden.
    Al op jonge leeftijd waren Johnny en zijn broer goede zwemmers. De stranden van het Michiganmeer werden hun favoriete zomerbestemming. Hij werd lid van het Stanton Park-zwembad en won alle jeugdtoernooien. Op zijn twaalfde werd hij opgenomen in het YMCA-zwemteam.

    Weismüller als zwemkampioen
    Weismüller was een van de beste zwemmers aller tijden. Hij was wereldrecordhouder op de 100 meter en haalde in totaal vijf gouden Olympische medailles:
    - 1922: de eerste in de geschiedenis die de 100 meter onder de minuut zwom (58'60");
    - 1924: drie gouden en één bronzen medaille op de Olympische Spelen in Parijs: goud op de 100 meter en de 400 meter vrije slag, 4 x 200 meter estafette; brons voor waterpolo;
    - 1928: 2 gouden medailles op de Olympische Spelen in Amsterdam: 100 meter vrije slag en 4 x 200 meter estafette.

    Weismüller als Tarzan
    In 1932 speelde Johnny Weismüller de hoofdrol in de film Tarzan The Ape Man. De vrouwen vielen in kwatzijm voor deze kampioen. Hij zou tot in 1948 in twaalf Tarzanfilms meedoen. Vanaf 1934 werd Maureen O'Sullivan zijn vaste tegenspeelster als Jane. Beiden werden grote filmsterren. Weismüller had echter minder succes in andere zaken. Vijf huwelijken strandden en hij geraakte financieel aan de grond. Zijn reputatie en sterrenstatus raakte hij kwijt. Op 20 januari 1984 overleed hij als een arme, eenzame man.

    (bronnen: Wikipedia en www.vivic.ro voor de bovenste foto)




    0 1 2 3 4 5 - Gemiddelde waardering: 0/5 - (0 Stemmen)
    02-06-2010, 00:00 geschreven door isaatje70  
    01-06-2010
    Klik hier om een link te hebben waarmee u dit artikel later terug kunt lezen.Geisers
    Klik op onderstaande link om naar een grappig reclamespotje te kijken:

    http://www.funnyplace.org/stream.php?id=15599
    0 1 2 3 4 5 - Gemiddelde waardering: 0/5 - (0 Stemmen)
    01-06-2010, 10:24 geschreven door isaatje70  
    Klik hier om een link te hebben waarmee u dit artikel later terug kunt lezen.Dief geeft zich uit voor politieagent
    Klik op de afbeelding om de link te volgen Een Belgische dief dacht een slimme manier gevonden te hebben om geld te stelen. Bij een groot stadsfeest gaf hij zich uit voor politieagent, compleet met oortje. Hij fouilleerde bezoekers, waarbij hij van de gelegenheid misbruik maakte om direct hun portefeuilles te stelen.
    De man is vervolgens door echte agenten opgepakt, zo meldde de commissaris van de politiezone Bergen afgelopen zaterdag.
    Het stadsfeest van Bergen, Ducasse, hangt samen met een processie waarbij de drakenpop Doudou door de straten wordt gedragen. De processie vindt haar oorsprong in 1348, toen het gebied van Bergen door de pest geteisterd werd.

    (bronnen: www.destentor.nl, http://112post.nl)
    0 1 2 3 4 5 - Gemiddelde waardering: 3/5 - (2 Stemmen)
    01-06-2010, 00:00 geschreven door isaatje70  
    Klik hier om een link te hebben waarmee u dit artikel later terug kunt lezen.India arresteert duif
    Klik op de afbeelding om de link te volgen De Indiase politie heeft een duif gearresteerd. De vogel wordt ervan verdacht voor Pakistan te hebben gespioneerd. Op het lijf van de duif waren een adres en een telefoonnummer uit Pakistan gestempeld. De Indiase politie vermoedt dat het dier is gebruikt als postduif. Hij werd namelijk gevonden in de provincie Punjab, die aan Pakistan grenst. India neemt het zekere voor het onzekere en laat de duif bewaken door gewapende beveiligers. Verder mag de vogel geen bezoek ontvangen en heeft hij voor zover bekend geen advocaat toegewezen gekregen...

    (bronnen: www.waarmaarraar.nl, www.zimoa.nl)
    0 1 2 3 4 5 - Gemiddelde waardering: 0/5 - (0 Stemmen)
    01-06-2010, 00:00 geschreven door isaatje70  
    Klik hier om een link te hebben waarmee u dit artikel later terug kunt lezen.Verdronken vlinder
    Klik op de link om te luisteren naar dit mooie liedje van de Nederlandse zanger Boudewijn de Groot (uit 1970):

    http://www.youtube.com/watch?v=8M04l_EFrPE

    (bronnen: YouTube, Wikipedia, http://muziekcafe.web-log.nl)




    0 1 2 3 4 5 - Gemiddelde waardering: 0/5 - (0 Stemmen)
    01-06-2010, 00:00 geschreven door isaatje70  
    Foto
    Gastenboek

    Druk op onderstaande knop om een berichtje achter te laten in mijn gastenboek

    Blog als favoriet !
    Willekeurig Bloggen.be Blogs
    ricojournalistiek
    www.bloggen.be/ricojou
    Zoeken met Google


    Foto
    Foto
    Foto
    Foto
    Foto
    Foto
    Foto
    Foto
    Archief per maand
  • 03-2011
  • 02-2011
  • 01-2011
  • 12-2010
  • 11-2010
  • 10-2010
  • 09-2010
  • 08-2010
  • 07-2010
  • 06-2010
  • 05-2010
  • 04-2010
  • 03-2010
  • 02-2010
  • 01-2010
  • 12-2009
  • 11-2009
  • 10-2009
  • 09-2009
  • 08-2009
  • 07-2009
  • 06-2009
  • 05-2009
  • 04-2009
  • 03-2009
  • 02-2009
  • 01-2009
  • 12-2008
  • 11-2008
  • 10-2008
  • 09-2008
  • 08-2008
  • 09-2005

    Blog tegen de wet? Klik hier.
    Gratis blog op https://www.bloggen.be - Meer blogs